
在 NSCLC 中,使用 PD-L1 检测试剂盒(免疫组织化学法)(PD-L1 IHC 22C3 pharmDx) 检测 PD-L1 可以辅助鉴别可接受 KEYTRUDA 一线治疗的患者
* 有关 KEYNOTE 临床试验的更多信息,请参见 PD-L1 IHC 22C3 pharmDx 使用说明
KEYTRUDA 针对 NSCLC 的 KEYNOTE-042 临床试验中唯一使用的 PD-L1 检测
PD-L1 IHC 22C3 pharmDx 是经临床试验验证的 KEYTRUDA 伴随诊断,在 KEYNOTE-042 中用于评估 PD-L1 表达并选择可接受 KEYTRUDA 治疗的患者

† 基于肿瘤表达 PD-L1 (TPS ≥ 1%) 的患者计算百分比。未纳入肿瘤不表达 PD-L1 的患者

如果您的治疗与 PD-L1 检测结果密切相关,这时候您的选择至关重要


预期用途
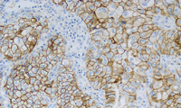
本试剂盒用于定性检测中性福尔马林固定石蜡包埋 (FFPE) 的非小细胞肺癌 (NSCLC) 组织中的 PD-L1 蛋白,辅助鉴别可使用 KEYTRUDA®(pembrolizumab 帕博利珠单抗)治疗的 NSCLC 患者。
欲了解特定临床环境下的用药治疗及 PD-L1 检测使用指导,请参阅 KEYTRUDA® 产品说明书。
PD-L1 检测试剂盒(免疫组织化学法)是一种含有小鼠抗 PD-L1(克隆号 22C3)单克隆抗体,应用于组织染色机 (Autostainer Link 48) 平台配套 EnVision FLEX 显色系统的免疫组化检测试剂盒。NSCLC 中 PD-L1 蛋白的表达水平由肿瘤比例评分 (TPS) 来确定,即任意强度下,部分或完全膜染色的活的肿瘤细胞的百分比。如果 TPS ≥ 1%,则认为该样本存在 PD-L1 表达。
供体外诊断使用。
KEYTRUDA 是默沙东公司的药品注册商标。
参考文献:1. PD-L1 IHC 22C3 pharmDx [包装说明书],Carpinteria, CA: Dako,安捷伦病理学解决方案;2019。2. Keytruda [package insert]. Kenilworth, NJ: Merck & Co., Inc.; 2019. 3. Bray F, Ferlay J, Soerjomataram I, et al. Global cancer statistics 2018: GLOBOCAN estimates of incidence and mortality worldwide for 36 cancers in 185 countries. CA Cancer J Clin. 2018;68(6):394–424. 4. World Health Organization. 2014 review of cancer medicines on the WHO list of essential medicines: Non-small cell lung cancer. http://www.who.int/selection_medicines/committees/expert/20/applications/NonSmallCellLungCancer.pdf.Published 2014. 2018 年 11 月 13 日访问。5. Lu S, Yu Y, and Yang Y. Retrospect and prospect for lung cancer in China: Clinical advance in immune checkpoint inhibitors. Oncologist. 2019;24:S21-S30. 6. Brahmer J, Govindan R, Anders R, et al. The Society for Immunotherapy of Cancer consensus statement on immunotherapy for the treatment of non-small cell lung cancer (NSCLC). J ImmunotherCancer. 2018;6(75):1-15. 7. Hanna N, Johnson D, Temin S, et al. Systemic therapy for stage IV non–small-cell lung cancer: American Society of Clinical Oncology Clinical Practice Guideline Update. J Clin Oncol. 2017;35(30):3484-3515. 8. Planchard D, Popat S, Kerr K, et al. Metastatic non-small cell lung cancer: ESMO Clinical Practice Guidelines for diagnosis, treatment and follow-up. Annals of Onc. 2018;29(4):v192-iv237. 9. Wu YL, Planchard D, Lu S, et al. Pan-Asian adapted clinical practice guidelines for the management of patients with metastatic non-small-cell lung cancer: A CSCO-ESMO initiative endorsed by JSMO, KSMO, MOS, SSO, and TOS. Annals of Onc. 2019;30(2):171-210. 10. 数据文件,安捷伦科技有限公司。