PD-L1伴随诊断 - PD-L1 检测试剂盒(免疫组织化学法 ), PD-L1 IHC 22C3 pharmDx

- 由于适应症涵盖了多种癌症类型,肿瘤医生越来越多地选择使用 KEYTRUDA 治疗
- PD-L1 检测试剂盒(免疫组织化学法)PD-L1 IHC 22C3 pharmDx 是考虑患者接受 KEYTRUDA 治疗时的临床相关选择

高特异性确保准确的临床结果

高灵敏度确保精确的 PD-L1 检测结果
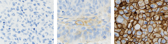
- 对 NSCLC 患者 PD-L1 表达的评估展示了 TPS 0%–100%,染色强度 0–3+ 的动态范围
上图为经 PD-L1 检测试剂盒(免疫组织化学法)PD-L1 IHC 22C3 pharmDx 染色的 NSCLC 样本。

- 安捷伦进行了严格的重复性检测,以确保检测结果的可靠性
- 仪器间、操作人员间、日间和运行内检测总体百分比一致率达到 100%*

- 在三个外部检测中心进行的重现性检测表明,所有检测的总体百分比一致率为 > 85%*
- 检测中心间、检测中心内、观察者间和观察者内都进行了检测比较

- PD-L1 检测试剂盒(免疫组织化学法)PD-L1 IHC 22C3 pharmDx 经过预先验证,包括经验证的判读评分指南和现场产品演示
- 完整染色运行所需的全部组分均一起进行了验证,并包含在每个试剂盒中
* 总体百分比一致率基于平均阴性和平均阳性百分比一致率。使用 NSCLC 组织进行检测
- PD-L1 检测试剂盒(免疫组织化学法)PD-L1 IHC 22C3 pharmDx 是一种标准化的免疫组织化学法检测,一个试剂盒中包含 50 次检测所需的全部组分
- 设计匹配 Autostainer Link 48 平台,该平台采用的 DakoLink 软件中预先编程了经过验证的染色方案

预期用途
用于体外诊断。
PD-L1 检测试剂盒(免疫组织化学法)PD-L1 IHC 22C3 pharmDx 用于定性检测中性福尔马林固定石蜡包埋 (FFPE) 的非小细胞肺癌 (NSCLC)、食管鳞状细胞癌 (ESCC) 和头颈部鳞状细胞癌 (HNSCC) 组织中的 PD-L1 蛋白,辅助鉴别可使用KEYTRUDA®(pembrolizumab,帕博利珠单抗)治疗的 NSCLC、ESCC 或者 HNSCC 患者,用作 KEYTRUDA® 的伴随诊断。
PD-L1 检测试剂盒(免疫组织化学法)是一种含有小鼠抗 PD-L1(克隆号22C3)单克隆抗体,应用于全自动免疫组化染色机 (Autostainer Link 48) 平台配套 EnVision FLEX 显色系统的免疫组化检测试剂盒。
NSCLC 中 PD-L1 蛋白的表达水平由肿瘤比例评分 (TPS) 来确定,即任意强度下,部分或完全膜染色的活的肿瘤细胞的百分比。
ESCC 中 PD-L1 蛋白的表达水平通过联合阳性评分 (CPS) 来确定,即 PD-L1 染色细胞数(肿瘤细胞、淋巴细胞、巨噬细胞)除以存活肿瘤细胞总数,乘以 100 后的数值。
HNSCC 中 PD-L1 蛋白的表达水平通过联合阳性评分 (CPS) 来确定,即 PD-L1 染色细胞数(肿瘤细胞、淋巴细胞、巨噬细胞)除以存活肿瘤细胞总数,乘以 100 后的数值。
伴随诊断适应症
| 肿瘤适应症 | PD-L1 表达水平 | 预期用途 |
| NSCLC | TPS ≥ 1% | PD-L1 检测试剂盒(免疫组织化学法)用于辅助鉴别可使用KEYTRUDA®(帕博利珠单抗)治疗的 NSCLC 患者。** |
| ESCC | CPS ≥ 10 | PD-L1 检测试剂盒(免疫组织化学法)用于辅助鉴别可使用 KEYTRUDA®(帕博利珠单抗)治疗的 ESCC 患者。 |
| HNSCC | CPS ≥ 20 | PD-L1 检测试剂盒(免疫组织化学法)用于辅助鉴别可使用 KEYTRUDA®(帕博利珠单抗)治疗的 HNSCC 患者。** |
**欲了解特定临床环境下的用药治疗及 PD-L1 检测使用指导,请参阅 KEYTRUDA® 产品说明书
KEYTRUDA® 是默沙东公司的药品注册商标。
参考文献:1. PD-L1 检测试剂盒(免疫组织化学法)PD-L1 IHC 22C3 pharmDx 说明书,美国安捷伦科技有限公司,2022. 2.Keytruda [package insert]. Kenilworth, NJ: Merck & Co., Inc.; 2020. 3.Garon EB, Rizvi NA, Hui R, et al.Pembrolizumab for the treatment of non-small-cell lung cancer.N Engl J Med. 2015;372(21):2018-2028. 4.Herbst RS, Baas P, Kim DW, et al. Pembrolizumab versus docetaxel for previously treated, PD-L1-positive, advanced non-small-cell lung cancer (KEYNOTE-010): a randomised controlled trial. Lancet. 2016;387(10027):1540-1550. 5. Reck M, Rodríguez-abreu D, Robinson AG, et al. Pembrolizumab versus chemotherapy for PD-L1-positive non-small-cell lung cancer. N Engl J Med. 2016;375(19):1823-1833. 6. Roach C, Zhang N, Corigliano E, et al.Development of a companion diagnostic PD-L1 immunohistochemistry assay for pembrolizumab therapy in non-small-cell lung cancer.Appl Immunohistochem Mol Morphol.2016;24:392-397.
广告批准文号:京械广审(文)第 240825-09993 号
禁忌内容或者注意事项详见说明书